Смотрите также

|
|
Топографическое картирование зрительных вызванных потенциалов в диагностике заболеваний зрительного пути
А.А. Кривошеев, А.М. Шамшинова
А.А. Кривошеев, А.М. Шамшинова
ТОПОГРАФИЧЕСКОЕ КАРТИРОВАНИЕ ЗРИТЕЛЬНЫХ ВЫЗВАННЫХ ПОТЕНЦИАЛОВ В ДИАГНОСТИКЕ ЗАБОЛЕВАНИЙ ЗРИТЕЛЬНОГО ПУТИ
Московский НИИ глазных болезней им. Гельмгольца Минздрава Российской Федерации
Заболевания зрительного пути являются одной из ведущих причин стойкого снижения зрительных функций у детей и взрослых (Мосин И.М., Яковлев А.А., 1999; Либман Е.С., Шахова Е.В., 2000). Диагностика этих заболеваний улучшилась благодаря появлению новых методов визуализации (нейросонография, компьютерная, магнитно-резонансная и другие виды томографии), оценки параметров кровотока (лазерная допплерография сосудов глазного дна, ультразвуковая транскраниальная допплерография) и нейрофизиологического исследования зрительной системы. Исследование зрительных вызванных потенциалов (ЗВП) вошло в диагностический арсенал офтальмологов и невропатологов в 60-е годы. С тех пор метод непрерывно совершенствуется, установлены оптимальные параметры зрительной стимуляции и регистрации ЗВП, которые отражены в стандартах Международного общества клинической электрофизиологии зрения [10]. При различных формах патологии зрительного пути были описаны следующие изменения ЗВП: увеличение времени проведения импульсов от сетчатки до зрительных центров (увеличение латентности компонентов), уменьшение амплитуды, межполушарная и межокулярная асимметрия амплитудно-временных показателей компонентов ЗВП, отсутствие ЗВП [5]. Высказывается мнение, что изменения ЗВП не являются специфичными для какого-либо поражения зрительной системы (A.M. Halliday, 1982). Так, увеличение латентности ЗВП может быть следствием нарушения передачи импульсов в сетчатке, демиелинизации нервных волокон на различных уровнях зрительного пути, от зрительного нерва до коры затылочной доли, или синаптических аномалий в сетчатке или зрительной коре. В настоящее время, в результате развития вычислительной техники, в клинической офтальмологии начинают использоваться принципиально новые подходы к изучению биоэлектрической активности зрительной системы, состоящие в исследовании пространственного распределения биопотенциалов в структурах головного мозга - топографическое картирование и трехмерная локализация источников ЗВП [1,2,4,5,9]. В то время как ЗВП, зарегистрированные при рутинном исследовании отражают преимущественно биоэлектрическую активность стриарной коры, топографическое картирование позволяет провести прямое сопоставление ЗВП, зарегистрированных в разных отведениях, и определить, по картине распределения биопотенциалов на поверхности головы, функциональное состояние не только стриарных, но и экстрастриарных зрительных корковых зон.
В настоящей работе представлены результаты клинических исследований, показывающих диагностическое значение нарушений топографии зрительных вызванных потенциалов при поражениях зрительного пути различного генеза.
МАТЕРИАЛЫ И МЕТОДЫ.
Обследованы 300 человек. Контрольная группа состояла из 25 здоровых добровольцев (средний возраст 20±±7 лет), которые не имели глазных, неврологических и системных заболеваний. У других пациентов выявлены заболевания, сопровождающиеся поражением зрительного пути на различных уровнях (зрительный нерв, хиазма, ретрохиазмальные структуры, зрительные корковые центры). Кроме общего офтальмологического обследования, дополнительно, для уточнения диагноза, было проведено исследование электроретинограммы (ЭРГ), световой и цветовой чувствительности зрительной системы, on/off-активности колбочковой системы, стереопсиса. Все пациенты были подвергнуты специальному электрофизиологическому обследованию, которое включало топографическое картирование и трехмерную локализацию источников вспышечных ЗВП.
Для топографического картирования ЗВП использовали специализированный комплекс "МБН-нейрокартограф" (МБН, г. Москва). Комплекс состоит из фотостимулятора ФСТ-01, 16-канального усилителя УБПЭЭГ-01, аналого-цифрового преобразователя, электродов для электроэнцефалографии с устройством их фиксации, блока питания ИБП-01 и программных средств для анализа и картирования электрической активности головного мозга, и функционирует на базе IBM-совместимого персонального компьютера.
ЗВП регистрировали при монокулярной вспышечной стимуляции. Энергия вспышки составляла 0.29 Дж, максимальная длительность - 10 мс, дистанция ''глаз - источник света'' - 30 см, стимулируемая область сетчатки - 20 °. Частота стимуляции 0.5 Гц.
Слабополяризующиеся графитовые электроды устанавливались на скальпе в проекции затылочной, височной, теменной и лобной долей обеих гемисфер головного мозга в соответствии со схемой "International 10-20 System". Электроды фиксировались с помощью электроэнцефалографического шлема, состоящего из эластичных трубок. Для повышения стабильности контакта электродов и снижения импеданса использовали ЭЭГ-пасту "Ten 20" (Weaver & Co., США). Электродный импеданс составлял менее 10 кОм. ЗВП регистрировались в 16 монополярных отведениях, референтные электроды накладывались на мочки одного и второго уха, заземляющий электрод на лобную область. Полоса пропускания усилителя 0.5 - 70.0 Гц. Записанные сигналы для уменьшения влияния токов питающей сети подвергали дополнительной цифровой фильтрации. Длина эпохи ЗВП составляла 400 мс (включая предстимульные 100 мс). Регистрировали 123 эпохи, анализировали усредненный сигнал.
Оценивали конфигурацию, латентность и амплитуду компонентов P2 вспышечных ЗВП в затылочных отведениях (O1, O2). Изучение потенциальных полей ЗВП проводили по топографическим картам, на которых, с использованием принципа цветового кодирования, отображались мгновенные значения потенциала. На топографических картах, соответствующих компонентам P2, отмечали наличие и взаимное расположение позитивных и негативных областей, их конфигурацию, межполушарную асимметрию, наличие доминирующих центров активности.
Расположение источника (генератора) ЗВП и место регистрации наибольшего значения потенциала на поверхности головы нередко не совпадали, что некоторыми авторами объясняется различной ориентацией источников ЗВП и наличием у мозга, его оболочек и ликвора свойств объемного проводника [1,2,9]. Для уточнения данных топографического картирования использовали метод трехмерной локализации дипольных источников ЗВП, предназначенный для компьютерного моделирования расположения доминирующих центров биоэлектрической активности в структурах мозга [1,2,9,16,17]. Трехмерная локализация источников ЗВП осуществлялась с помощью компьютерной программы "Брейнлок 5.0" (автор Коптелов Ю.М.). В качестве входной информации, как и для топографического картирования, использовали многоканальную запись ЗВП. Дипольные источники ЗВП изображались на ортогональных проекциях головы в виде ''стрелок'' с основанием в центре вычисленного диполя. ''Стрелки'' направлены от "минуса" диполя к его "плюсу". Также источники выводились на семь схематических изображений срезов головного мозга, сделанных в орбито-миотальной проекции. Для улучшения объемного представления источники изображались внутри трехмерной вращающейся модели головного мозга. При наличии файлов магнитно-резонансной томографии локализация проводилась с учетом реальной топографии структур мозга пациента.
РЕЗУЛЬТАТЫ И ИХ ОБСУЖДЕНИЕ.
 Рис.1. Топографическое картирование
Контрольная группа (практически здоровые). У всех исследованных доминировала активность теменно-затылочных отделов мозга, что проявлялось соответствующим расположением позитивных зон и локализацией источников вспышечных ЗВП. Позитивные зоны были отмечены в обеих затылочных областях с амплитудным преобладанием в одной из них, или в одной из теменно-затылочных областей, чаще в контралатеральной по отношению к стимулируемому глазу (Рис. 1). Преобладание биоэлектрической активности в контралатеральной затылочной области при стимуляции всего поля зрения (full-field) ряд авторов объясняли особенностями количественного распределения нервных волокон в хиазме, вследствие чего больше волокон проводит афферентные импульсы в контралатеральное по отношению к стимулируемому глазу полушарие, чем в ипсилатеральное. Интериндивидуальная вариабельность выраженности и топографии компонента P2 отмечалась многими исследователями [1,8], что объяснялось значительной вариабельностью асимметрии затылочной коры, положения стриарной коры и ее погружения в борозды [12,18,19]. Иногда регистрировались низкоамплитудные позитивные зоны в лобных областях (чаще в ипсилатеральной). В литературе дискутируется возможная связь колебаний биопотенциала в лобной области с электроретинограммой и электромиографическими артефактами, возникающими при сокращении наружных мышц глаза и смаргивании (Rubinstein M.P., Harding G.F.A., 1981). У некоторых испытуемых отмечались позитивные очаги в височных областях, что, возможно, объясняется регистрацией артефактов слуховых ВП на щелчки фотостимулятора или миограммы. Эквивалентные источники биоэлектрической активности локализовались в затылочных отделах мозга, в области стриарной коры или клина, чаще с контралатеральной стороны (Рис. 2). В некоторых случаях источники были локализованы не в затылочных, а в теменных долях мозга. При наличии двух источников одновременно, один из них локализовался в затылочной или теменной доле, другой - в лобной или височной доле мозга.
 Рис.2. Локализация источников вспышечных ЗВП в норме: ортогональные проекции
Прехиазмальные нарушения (заболевания зрительного нерва). Многие заболевания зрительного нерва, такие как неврит, нейропатия Лебера, передняя ишемическая нейропатия, табачно-алкогольная нейропатия и компрессионная оптическая нейропатия, сопровождаются изменениями ЗВП. Признаком поражения зрительного нерва является увеличение латентного периода и снижение амплитуды основного позитивного компонента (P100) ЗВП (Halliday A.M. et al., 1972; Wildberger H., 1984; Sanders E., 1986; Harding G.F.A, 1991). Топографическое картирование ЗВП позволяет установить, что нарушение проведения импульсов по зрительному нерву приводит к нарушению генерации ЗВП в коре затылочной доли обеих гемисфер (при стимуляции пораженного глаза). Возможны различные варианты распределения биопотенциала над теменно-затылочной областью, в зависимости от расположения очага поражения относительно аксиального пучка зрительного нерва. Для прехиазмальной локализации патологического процесса характерна межокулярная асимметрия конфигурации, амплитудно-временных показателей и топографии ЗВП, что демонстрируется приведенными ниже клиническими примерами.
Пример I: полная посттравматическая атрофия зрительного нерва (Рис. 3). Мальчик 14 лет получил огнестрельное ранение головы, сопровождающееся повреждением правого зрительного нерва. Симптоматика ограничивалась амаврозом правого глаза и офтальмоскопическими признаками атрофии правого зрительного нерва, глазное дно левого глаза без патологических изменений (vis OS=1.0). Топографическое картирование ЗВП: OD - компонент P2 не дифференцируется, над всеми отделами мозга вызванная биоэлектрическая активность отсутствует; OS - компонент P2 нормальной конфигурации, латентности и амплитуды, доминирующий позитивный очаг в контралатеральной теменно-затылочной области. Источники ЗВП локализуются в области теменно-затылочной борозды контралатерального полушария. Отсутствие признаков генерации ЗВП во всех отделах мозга обеих полушарий при исследовании правого глаза свидетельствует о поражении большинства волокон зрительного нерва.
 Рис.3. Локализация источников вспышечных ЗВП в норме: послойные изображения
Пример II: ретробульбарный неврит правого зрительного нерва (Рис. 4). Пациентка 17 лет, с подозрением на неврит зрительного нерва, поступила с жалобами на резкое снижение зрения правого глаза. Vis OD=pr.l.c., OS=1.0, патологических изменений на глазном дне нет. Топографическое картирование ЗВП: OD компонент P2 измененной конфигурации (расширен), с увеличенной латентностью и сниженной амплитудой, позитивный очаг сниженной амплитуды определяется в теменно-затылочных областях контра- и ипсилатерального полушария; OS компонент P2 нормальной конфигурации, латентности и амплитуды, позитивный очаг нормальной амплитуды определяется в теменно-затылочных областях контра- и ипсилатерального полушария. Таким образом, сохранение нормальных показателей вызванной биоэлектрической активности при исследовании OS, сочетается со значительными изменениями конфигурации, амплитуды и латентности, снижением активности коркового генератора ЗВП с сохранением нормального топографического распределения при исследовании OD.
 Рис.4. Локализация источников вспышечных ЗВП в норме: МР-томографические изображения
Хиазмальные нарушения. Электрофизиологическая симптоматика определяется формой поражения.
При оптохиазмальном арахноидите проведение импульсов нарушается в перекрещенных и неперекрещенных волокнах. Топографическое картирование ЗВП выявляет нарушение биоэлектрической активности коры затылочной доли обеих гемисфер. В отличие от ретробульбарного оптического неврита, при оптохиазмальном арахноидите снижение биоэлектрической активности затылочных областей во многих случаях сочетается с проявлением активности нейронов передних (лобных, парахиазмальных) отделов мозга [15]. Возможным объяснением этого феномена, который может иметь дифференциально-диагностическое значение, является предположение о преобладании при воспалительном процессе в нейронах указанных областей мозга процессов возбуждения над торможением (гиперактивность нейронов) и формировании генератора патологически усиленного возбуждения [3], с функционированием которого, по нашим представлениям, может быть связано появление некоторых неврологических расстройств (светобоязнь, нистагм).
 Рис.5. 14 лет, пулевое ранение головы с повреждением зрительного нерва правого глаза.
Пример III: оптохиазмальный арахноидит (Рис. 5). Пациентка 39 лет, vis OD=0.4, OS=0.03, неврологическая симптоматика и патологические изменения на глазном дне обоих глаз отсутствовали. Топографическое картирование ЗВП: OD - компонент P2 имеет нормальную конфигурацию и латентность в отведении O2, инвертирован в отведении O1; при исследовании как правого, так и левого глаза определяются два позитивных очага над контралатеральным полушарием - в теменно-затылочной и аномальный, доминирующий, в лобной области. Несмотря на наличие на топографических картах доминирующих областей биоэлектрического ответа, источники ЗВП не локализуются, ни по однодипольной, ни по двухдипольной модели, что вероятно обусловлено сложным пространственным распределением потенциала.
При альбинизме, в результате генетически детерминированных нарушений формирования зрительного пути, соотношение перекрещенных и неперекрещенных волокон в хиазме изменено. Помимо аксонов ганглиозных клеток носовой половины сетчатки, в хиазме аномально перекрещиваются волокна от височной половины сетчатки, поступая вместо ипсилатерального в контралатеральное полушарие. Вследствие этого, каждое полушарие получает афферентные входы преимущественно от одного, контралатерального глаза. Только небольшая часть периферии височной половины сетчатки представлена в ипсилатеральном полушарии [13]. Вследствие этого, при монокулярной стимуляции значительно преобладает афферентный поток в контралатеральное полушарие, что проявляется изменением конфигурации компонента P2 вспышечных ЗВП и межполушарной асимметрией: увеличение амплитуды потенциала, регистрируемого над контралатеральным полушарием, уменьшение амплитуды и изменение конфигурации над ипсилатеральным (Creel D., 1974). Изменения, наблюдаемые у альбиносов при топографическом картировании ЗВП довольно характерны. При монокулярной вспышечной стимуляции, в затылочных отведениях выражена амплитудная и временная асимметрия компонента P2: над контралатеральным полушарием амплитуда больше, а латентность меньше, чем над ипсилатеральным. Нередко встречается W-образное изменение конфигурации компонента P2. Размер и амплитуда позитивных зон значительно преобладают над контралатеральным полушарием в теменно-затылочно-височных областях. При последовательном просмотре потенциальных карт (динамическая топография) удается определить, что над контралатеральным полушарием позитивная зона появляется раньше, чем над ипсилатеральным. Источники ЗВП локализуются преимущественно в структурах контралатерального полушария. Таким образом, при альбинизме топографическое картирование и трехмерная локализация источников ЗВП демонстрируют неодинаковые условия функционирования зрительных корковых центров двух полушарий, что коррелирует с известными анатомическими изменениями.
Пример IV: альбинизм (Рис. 6-7). Пациент 26 лет, с врожденным нистагмом. Кожные покровы обычной окраски, волосы светлые. Vis OD=0.2, OS=0.2, маятникообразный нистагм, гиперметропический астигматизм, гипопигментация радужной оболочки, глазное дно альбинотического типа. Амплитуда общей электроретинограммы OU на верхней границе нормы, вероятно вследствие увеличения освещенности сетчатки из-за малопигментированной радужной оболочки. При стандартном исследовании ЗВП изменений не выявлено. Топографическое картирование ЗВП: при стимуляции как OD, так и OS выявляется выраженная межполушарная амплитудно-временная асимметрия компонента P2 при его нормальной конфигурации, доминирующий позитивный очаг регистрируется в теменно-затылочной области контралатерального полушария; латентность P2 меньше на контралатеральной стороне. Источники ЗВП локализованы в области теменно-затылочной борозды и в височной доле контралатерального полушария.
 Рис.6. 14 лет, пулевое ранение головы с повреждением зрительного нерва правого глаза.
 Рис.7. Ретробульбарный неврит OD
Ретрохиазмальные нарушения. При поражении зрительных корковых центров обнаруживаются признаки снижения их биоэлектрической активности различной степени, вплоть до отсутствия позитивных зон в теменно-затылочной области, а также локализация источников ЗВП вне пораженных стриарных и престриарных корковых центров [6,11]. При одностороннем поражении компонент P2 может быть парадоксально более выражен над пораженной гемисферой, а над непораженной инвертирован, что отражает дипольный характер генератора нормально функционирующей гемисферы [7]. Расположение генератора позволяет уточнить трехмерная локализация источников ЗВП, как в описанном ниже клиническом примере.
Пример V: одностороннее поражение затылочной доли мозга (Рис. 8-10). Пациентка 7 лет с последствиями черепно-мозговой травмы, полученной в результате автомобильной аварии. Жалобы на снижение зрения обоих глаз. Vis OD=0.1, OS=0.8, левосторонняя гомонимная гемианопсия с сужением правой половины поля зрения обоих глаз (OD до 6°°, OS до 20°°), на глазном дне билатерально определяются признаки атрофии зрительного нерва. С помощью МРТ визуализируется посттравматическая порэнцефалическая киста правой затылочной доли размером 60x44 мм, имеющая сообщение с задним отделом расширенного гомолатерального желудочка. Общая электроретинограмма OU нормальная. Топографическое картирование ЗВП: при стимуляции как OD, так и OS компонент P2 расширен, его латентность увеличена, доминирующий позитивный очаг определяется в контралатеральной по отношению к стимулируемому глазу теменно-затылочной области, в том числе над пораженной, правой затылочной долей. Источники ЗВП имеют различное расположение при стимуляции каждого глаза и локализуются при стимуляции OD в левой (контралатеральной) затылочной доле, а при стимуляции OS в затылочной и височной долях левого (ипсилатерального) полушария. Регистрация позитивного потенциала при стимуляции OS над пораженной затылочной долей объясняется ориентацией вектора дипольного источника, расположенного в левом полушарии, в сторону правой затылочной доли.
Амблиопия. При амблиопии различного происхождения функциональные нарушения обнаруживаются на всех уровнях зрительного пути - в сетчатке амблиопичного глаза, а также в латеральных коленчатых телах и стриарной коре обеих гемисфер [14]. Эти нарушения проявляются нерезко выраженными межокулярной и межполушарной асимметрией ЗВП.
 Рис.8. Оптохиазмальный арахноидит
 Рис.9. Альбинизм
 Рис.10. Альбинизм
Пример VI: анизометропическая амблиопия. Пациент 5 лет с выраженной анизометропией (гиперметропия слабой степени OD, высокой степени OS), содружественным сходящимся косоглазием и амблиопией очень высокой степени левого глаза. Vis OD=1.0, OS=0.01, глазное дно обоих глаз без патологических изменений, зрительная фиксация OS нецентральная. ЗВП: здоровый глаз (OD) - компонент P2 нормальной амплитуды и латентности, доминирующий позитивный очаг находится в затылочной области контралатерального полушария, источники локализуются в зрительной коре контралатерального полушария и в ипсилатеральной таламической области; амблиопичный глаз (OS) - выражена межполушарная асимметрия латентности компонента P2, с увеличением на контралатеральной стороне, доминирующий позитивный очаг в затылочной области ипсилатерального полушария, источники ЗВП локализуются экстрастриарно.
рис. 11. Альбинизм
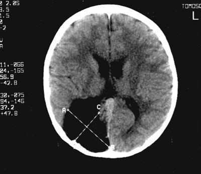
рис. 12. Поражение правой затылочной доли мозга. МРТ головного мозга
рис. 13. ЗВП при стимуляции правого глаза
рис. 14. ЗВП при стимуляции правого глаза
рис. 15. ЗВП при стимуляции правого глаза
рис. 16. ЗВП при стимуляции левого глаза
рис. 17. ЗВП при стимуляции левого глаза
рис. 18. ЗВП при стимуляции левого глаза
ЗАКЛЮЧЕНИЕ.
Зрительные вызванные потенциалы являются ведущим объективным функциональным тестом, применяющимся при заболеваниях зрительного пути. Однако, использование общепринятого способа исследования ЗВП, без учета топографического распределения, позволяет при поражениях различных отделов зрительного пути обнаружить только неспецифические изменения вызванной биоэлектрической активности. Так, при заболеваниях зрительного нерва, поражениях хиазмы, ретрохиазмальных и корковых отделов зрительного пути, могут отмечаться удлинение латентного периода, уменьшение амплитуды и нарушения компонентного состава ЗВП. Анализ топографического распределения ЗВП с помощью топографического картирования и трехмерной локализации источников, примеры которого приведены выше, позволяет дифференцировать причины нарушения проведения импульсов по зрительному пути. Показано, что в норме генерация компонента P2 вспышечных ЗВП определяется преимущественно биоэлектрической активностью зрительных корковых зон затылочных долей обоих полушарий головного мозга (поле 17-19), что проявляется расположением в проекции этих структур (теменно-затылочная область) зон позитивных значений потенциала и локализацией источников в зрительной коре. При поражениях зрительного пути топографическое распределение ЗВП изменяется в зависимости от локализации патологического процесса. Эти нарушения могут проявляться в виде снижения или повышения площади и амплитуды позитивных и негативных зон в проекции стриарных и перистриарных корковых центров, в изменении соотношения биоэлектрической активности полушарий (межполушарная асимметрия), а также в необычной локализации активных зон и источников ЗВП в областях мозга, которые в норме не являются доминирующими. При значительном нарушении конфигурации и компонентного состава ЗВП, топографическое картирование и трехмерная локализация источников помогают идентифицировать измененные компоненты.
Таким образом, изучение топографии зрительных вызванных потенциалов с применением зрительных стимулов различной модальности (структурированных и неструктурированных, различного спектрального состава и частоты), является перспективным методом исследования процессов переработки зрительной информации в норме и при различных заболеваниях зрительного пути.
ЛИТЕРАТУРА
Гнездицкий В.В. Анализ потенциальных полей и трехмерная локализация источников электрической активности мозга человека. Автореф. дисс. ... докт. биол. наук. - М., 1990. - 41 с.
Коптелов Ю.М. Исследование и численное решение некоторых обратных задач электроэнцефалографии. Автореф. дисс. ... канд. физ.- мат. наук. - М., 1988. - 14 с.
Крыжановский Г.Н. Генераторы патологически усиленного возбуждения // Общая патофизиология нервной системы. - М.: Медицина. - 1997. - С. 141-168.
Нюер М.Р. Количественный анализ и топографическое картирование ЭЭГ: методики, проблемы, клиническое применение // Успехи физиологических наук. - 1992. - Т. 23, № 1. - С. 20-39.
Шамшинова А.М., Волков В.В. Функциональные методы исследования в офтальмологии. - М.: Медицина, 1998. - 416 с.
Шамшинова А.М., Кривошеев А.А., Мосин И.М. // Вопросы нейроофтальмологии. - М.: НИИ нейрохирургии им. Бурденко, 1999. - С. 68-70.
Barrett G., Blumhardt L., Halliday A.M., Halliday E., Kriss A. A paradox in the lateralisation of the visual evoked response // Nature. - 1976. - Vol. 261. - P. 253-255.
Brigell M., Rubboli G., Celesia G.G. Identification of the hemisphere activated by hemifield visual stimulation using a single equivalent dipole model // Electroencephalogr. Clin. Neurophysiol. - 1993. - Vol. 87, № 5. - P. 291-299.
Duffy F.H., Iyre V.G., Surwillo W.W. Clinical electroencephalography and topographic brain mapping. Technology and practice. - New York: Springer-Verlag. - 1989 - P. 304.
Harding G.F.A., Odom J.V., Spileers W., Spekreijse H. Standard for visual evoked potentials 1995. The International Society for Clinical Electrophysiology of Vision. // Vis. Res. - 1996. - Vol. 36. - № 21. - P. 3567-3572.
Krivosheev A., Koptelov U., Mosin I. The topography VEP in cortical visual imrairment in children // Ophthal. Res. (EVER abstracts). - 1998. - P. 113.
Kuroiwa Y., Celesia G.G., Tohgi H. Amplitude difference between pattern-evoked potentials after left and right hemifield stimulation in normal subjects // Neurology. - 1987. - Vol. 37, № 5. - P. 795-799.
McHam M.L., Fulton A. Albinism. // International Ophthalmology Clinics. Pediatric Ophthalmology. Ed. Jakobiec F.A., Azar D. Boston: Little, Brown and Company, 1992. - Vol. 32, № 1. - P. 185-200.
Navon S.E., McKeown C.A. Amblyopia. // International Ophthalmology Clinics. Pediatric Ophthalmology. Ed. Jakobiec F.A., Azar D. Boston: Little, Brown and Company, 1992. - Vol. 32, № 1. - P. 35-50.
Shamshinova A.M., Krivosheev A.A. Mapping of VECP and optochiasmal arachnoiditis // 35th Symposium ISCEV (Abstract book). - Monterey Peninsula (USA). - 1997. - P. 41.
Smith D.B., Sidman R.D., Flanigin H., Henke J., Labiner D. A reliable method for localizing deep intracranial sources of the EEG // Neurology. - 1985. - Vol. 35, № 12. - P. 1702-1707.
Speckreijse H., Gilhuijs M.A.M., Verhoeff N.P.L.G., Verbeetn B.W.J.M. Source localization on the basis of VEP and SPECT // 31th Symposium ISCEV (Abstract book). - Chiba, 1993. - P. 57.
Stansaas S.S., Eddington D.K., Dobell W.H. The topography and variability of the primary visual cortex in man // J. Neurosurg. - 1974. - Vol. 40. - P. 747-755.
Van-Essen D.C., Newsome W.T., Maunsell J.H. The visual field representation in striate cortex of the macaque monkey: asymmetries, anisotropies, and individual variability // Vision. Res. - 1984. - Vol. 24, №5. - P. 429-448.
Комментарии пользователей Русский офтальмологический каталог www.ophthalmology.ru : Уважаемые пользователи! Для того чтобы комментировать эту статью, Вам нужно войти в систему или зарегистрироваться25 октября 2006 года, 16:31
Чтобы прокомментировать статью, войдите в систему или зарегистрируйтесь!
Зарегистрируйтесь, и Вы сможете добавлять свои статьи на наш сайт!
|