Состояние перфузии переднего сегмента глаза при первичной открытоугольной глаукоме - Статьи - Каталог офтальмологических ресурсов - ophthalmology.ru

ophthalmology.ru
Русский офтальмологический каталог
Организации | Специалисты | Статьи | Форум | Печать | Новости | Мировые ресурсы | Для пациента | Магазин | Сервис
Все статьи
Атлас new!
Как подать статью? Как подать статью?

Офтальмологический магазин
 
Офтальмоскопы и оборудование
книги по офтальмологии
Офтальмологические программы


Имя:
Пароль: 
запомнить
Забыли пароль?
Зарегистрироваться
Статьи на ophthalmology.ru
Смотрите также  
Журнал Глаукома 2004, №1

Состояние перфузии переднего сегмента глаза при первичной открытоугольной глаукоме

Глаукома 1'2004

А.В. Петраевский, И.А. Гндоян, И.Д. Мансур

Волгоградский государственный медицинский университет

Ухудшение кровоснабжения глаза при первичной открытоугольной глаукоме (ПОУГ) обусловлено повышением сопротивления кровотоку во внутриглазных сосудах, вызванным подъемом внутриглазного давления (ВГД) и снижением перфузионного давления (ПД) [1]. Этот показатель, названный коэффициентом Лобштейна, соответствует разнице между давлением в артериях, входящих в глаз, и давлением в венах в той точке, где прекращается влияние ВГД [10, 18]. Другими словами, ПД является разностью между давлением крови в глазничной артерии (ГА) и эписклеральных венах, последнее же в нормальных условиях равно ВГД.

Расчетная формула для ПД имеет вид:

Pp = Poph - Pio,

где Pp - перфузионное давление;
Poph - среднее динамическое давление в ГА;
Pio - внутриглазное давление.

Значения давления в ГА регистрируются методом офтальмодинамометрии при помощи офтальмодинамометров разной конструкции или методом офтальмодинамографии при помощи различных офтальмодинамографов [2, 3, 9, 13]. Однако оба этих метода имеют ряд недостатков и технических ограничений.

Офтальмодинамографическая кривая является записью не только глазного, но и орбитального кровотока, поэтому невозможно провести дифференциальную оценку состояния внутриглазного кровообращения [14]. Ввиду довольно высокого риска геморрагических осложнений определение систолического давления в ГА при гипертонической болезни с высоким уровнем общего АД противопоказано [2, 9].

Осуществление офтальмодинамометрии крайне затруднено при наличии медикаментозно суженного зрачка у больного глаукомой и практически невозможно при наличии мутных оптических сред (катаракта, помутнения стекловидного тела). В первом случае офтальмоскопия, которая методически необходима при офтальмодинамометрическом определении давления в ГА, малоинформативна, а во втором она не может быть произведена. Соответственно, в обоих случаях не может быть измерено давление в ГА.

Следует иметь в виду и тот факт, что любая компрессионная нагрузка на глаз (которая неизбежна как при офтальмодинамометрии, так и при офтальмодинамографии) извращает его сосудистую реакцию, что не желательно для определения гемодинамических показателей, в частности, ПД [5].

Ряд исследователей считает, что при ПОУГ одним из пусковых механизмов являются нарушения гемодинамики переднего сегмента глаза (ПСГ), что в свою очередь приводит к возникновению дистрофических изменений в дренажной зоне, затруднению оттока внутриглазной жидкости и подъему ВГД [6, 11, 12].

Оценка перфузии глаза при ПОУГ производится по кровотоку в ГА - сосуде, приносящем кровь ко всему глазному яблоку и его придаточному аппарату [1, 3, 7, 13]. "Для расчета перфузионного давления именно в кровоснабжаемой области, а не в глазу в целом правильнее было бы и АД измерять в питающих ее ветвях. Осуществить это технически пока не удается" [4].

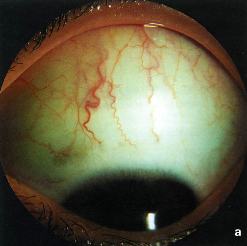
Рис 1. Передние цилиарные артерии: а - верхняя

Рис 1. Передние цилиарные артерии: б - нижняя.

Рис 1. Передние цилиарные артерии: а - верхняя, б - нижняя.

Данные клинико-функциональных исследований, проведенных рядом авторов [8, 15, 16, 17], показали, что в кровоснабжении ПСГ значительный вклад вносят передние цилиарные артерии (ПЦА) - сосуды, являющиеся продолжением мышечных ветвей ГА (рис. 1а, b). Они играют роль магистральных сосудов для радужки, цилиарного тела, дренажной зоны и других, важных в функциональном отношении отделов глазного яблока. ПЦА на всем своем протяжении до вхождения в склеральные эмиссарии у лимба не подвергаются воздействию ВГД и полностью соответствуют определению - "…артерии, входящие в глаз" [10]. Эти артерии хорошо видны на поверхности глаза, давление в них можно измерить при помощи вазотонометрии, которая выполнима практически на любом глазу.

Цель настоящей работы разработка способа определения ПД в ПСГ на основе измерения АД в сосудах, непосредственно кровоснабжающих данную область - ПЦА и проверка возможности применения данного способа у больных ПОУГ.

Материал и методы

Было обследовано 97 пациентов с ПОУГ в возрасте от 49 до 79 лет (средний возраст 66,2+2,8 лет). Контрольную группу составили 20 человек в возрасте 45-68 лет (средний возраст 60,5+1,8 лет), не имеющих глаукомы, катаракты или воспалительных заболеваний глаз. Всем обследуемым помимо общепринятого офтальмологического обследования (визометрия, рефрактометрия, компьютерная периметрия, тонометрия) проводили компьютерную тонографию и сфигмографию, вазотонометрию в ПЦА, измеряли системное АД.

Рис 2. Процессорный вазотонометр для измерения давления в ПЦА.

Рис 2. Процессорный вазотонометр для измерения давления в ПЦА.


Рис. 3. Рабочий момент ваотонометрии.

Рис. 3. Рабочий момент ваотонометрии.

Давление в ПЦА измеряли при помощи контактной вазотонометрии с использованием процессорного вазотонометра (рац. предложение Волгоградской медицинской академии № 3-96 от 19.01.96) (рис. 2, 3). Регистрацию давления проводили по известному феномену пульсации артерии [2] (рис. 4a-в). ВГД измерялось при помощи компьютерного тонографа "ОТГ-Э" производства ВНИИМП "ОПТИМЕД".

Исследование состояния микроциркуляции ПСГ в норме и при ПОУГ, привело к разработке нового способа определения ПД глаза (приоритетная справка № 2002103998/14 от 13.02.02г.), который позволяет решить 2 задачи: 1) методическую, так как дает возможность определять ПД в случае, когда невозможно измерение давления в ГА методом офтальмодинамометрии; 2) исследовательскую, поскольку позволяет оценить состояние перфузии конкретного региона непосредственно в зоне клинической манифестации заболевания, а именно в ПСГ.

Рис. 4. Процесс вазотонометрии: а - верхняя ПЦА до вазотонометрии

Рис. 4. Процесс вазотонометрии: б - микролинза вазотонометра над верхней ПЦА

Рис. 4. Процесс вазотонометрии: в - верхняя ПЦА в момент вазокомпресии

Рис. 4. Процесс вазотонометрии: а - верхняя ПЦА до вазотонометрии, б - микролинза вазотонометра над верхней ПЦА, в - верхняя ПЦА в момент вазокомпресии.

ПД вычислялось как разница между двумя значениями:

Рр = Pcil - Pio,

где Pp - перфузионное давление в ПСГ;
Pcil - давление в ПЦА;
Pio - внутриглазное давление.

Результаты и обсуждение

По предложенному способу проведено определение ПД в ПСГ для выработки значений возрастной нормы данного параметра. С этой целью было обследовано 49 здоровых лиц в возрасте от 20 до 68 лет без какой-либо офтальмопатологии (табл. 1).

Воз-раст (лет) Число лиц (глаз) Системное АД Давление в ПЦА ВГД (Ро) Перфузион. давление в ПСГ (Рр)
сист. сиаст.
20-30 14 (28) 114,64 ±2,52 74,64 ±2,57 65,44 ±1,70 14,5 ±0,4 50,64 ±0,97
31-40 6 (12) 120,83 ±2,83 81,67 ±3,22 64,50 ±1,33 14,6 ±0,4 49,16 ±1,34
41-50 8 (12) 126,25 ±2,56 86,25 ±1,80 64,94 ±1,15 14,6 ±0,4 48,19 ±1,31
50-60 9 (18) 131,67 ±2,43 87,22 ±1,73 62,56 ±1,46 15,5 ±0,5 46,67 ±1,42
61-70 12 (24) 138,33 ±2,93 87,08 ±2,50 59,21 ±1,31 15,8 ±0,4 43,71 ±1,48

Таблица 1 Некоторые показатели местной и системной гемодинамики у здоровых лиц в разных возрастных группах (контрольная группа), M+m (мм рт. ст.)

В первых трех возрастных группах значения давления в ПЦА почти не отличались (p>0,1) и были равны 64-65 мм рт. ст. После 50 лет наблюдается тенденция к снижению давления в ПЦА до 59-60 мм рт. ст., несмотря на то, что системное АД возрастает. На эту же тенденцию в соотношении давления в ПЦА и системного АД указывает в одной из своих работ Rety I. [19].

Естественно, что возрастная динамика ПД в ПСГ имеет такую же направленность (p<0,01), как и динамика давления в ПЦА, поскольку ПД как величина зависит от уровня давления в ПЦА. Второй фактор, влияющий на уровень ПД ВГД, по нашим данным, у здоровых лиц старше 50 лет увеличивается, что также приводит к снижению ПД. Если в группах до 50 лет ПД в ПСГ было 48-50 мм рт. ст., то в группе лиц старше 50 лет его среднее значение составило 46,67 мм рт. ст., старше 60 лет - 43,71 мм рт. ст.

По результатам вазотонометрии в ПЦА вычисляли значения ПД в ПСГ по модифицированной формуле Лобштейна (табл. 2).

Показатели   Здоровые лица (20 чел.)   Больные ПОУГ с уровнями ВГД  
    до 27 мм рт. ст. (28 чел.) до 32 мм рт. ст. (35 чел.) выше 32 мм рт. ст. (34 чел.)
Pio 14,1 ±2,2 19,2 ±1,4 22,7 ±2,2 36,8 ±6,6
C 0,26 ±0,06 0,08 ±0,02 0,09 ±0,03 0,06 ±0,04
F 1,21 ±0,53 0,93 ±0,36 1,16 ±0,55 1,25 ±0,67
58,4 ±13,6 239,6 ±76,8 375,7 ±25,5 1343,7 ±110,7
Pcil 64,78 ±5,15 60,05 ±2,66 66,15 ±3,74 73,76 ±2,94
Pp 50,46 ±4,63 40,81 ±3,37 43,43 ±2,67 36,93 ±5,49

Таблица 2 Показатели гидро- и гемодинамики у здоровых лиц и больных ПОУГ с разным уровнем ВГД (M±m) (Примечание. Размерности для показателей: Pio, Pcil, Pp - мм рт. ст., C - мм3/мм рт. ст. мин., F - мм3/ мин.)

При рассмотрении данных, приведенных в табл. 2, видно, что давление в ПЦА у больных ПОУГ при нормализованном ВГД ниже, чем у здоровых лиц. У пациентов, имевших повышенное ВГД - от 27 до 32 и выше 32 мм рт. ст. - наблюдалось повышение давления в ПЦА по сравнению со здоровыми лицами и больными ПОУГ, имевшими ВГД до 27 мм рт. ст. Данные литературы свидетельствуют о такой же динамике тонуса ПЦА, что объясняется, по нашему мнению, следующим образом [6, 12]. Гипотония в ПЦА является одним из пусковых механизмов патогенеза ПОУГ. Затем при подъеме ВГД возникает компенсаторный подъем кровяного давления вследствие включения механизма ауторегуляции, в работе которого при очень высоких цифрах наступает срыв. В значениях ПД в ПСГ отмечается однозначная тенденция. Значение ПД снижается при нарастании ВГД с некоторой стабилизацией при уровне ВГД от 27 до 32 мм рт. ст., несмотря на более высокое среднее ВГД в данной группе по сравнению с группой пациентов, имевших нормальное ВГД, что также может быть связано с включением механизма ауторегуляции. В целом динамика ПД в ПСГ при повышении ВГД свидетельствует о прогрессирующем ухудшении гемоперфузии ПСГ. Этот факт также согласуется с данными других исследователей [1, 7].

Показатели   Здоровые лица (20 чел.)   Больные ПОУГ  
    I стадия (25 чел.) II стадия (28 чел.) III стадия (26 чел.) IV стадия (18 чел.)
Pio 14,1 ±2,2 27,6 ±6,2 28,9 ±7,2 30,4 ±6,8 39,9 ±7,5
C 0,26 ±0,06 0,09 ±0,03 0,08 ±0,03 0,07 ±0,03 0,05 ±0,03
F 1,21 ±0,53 1,15 ±0,44 1,27 ±0,63 1,29 ±0,76 1,00 ±0,73
K Б 58,4 ±13,6 724,6 ±73,6 854,8 ±79,9 925,1 ±84,1 1337,0 ±78,1
Pcil 64,78 ±5,15 68,79 ±4,79 69,53 ±4,25 70,54 ±4,18 73,93 ±2,97
Pp 50,46 ±4,63 41,12 ±3,96 40,69 ±4,43 40,0 ±4,87 34,39 ±5,50

Таблица 3 Показатели гидро- и гемодинамики у здоровых лиц и больных ПОУГ с разными стадиями глаукомы (M+m) (Примечание: размерности для показателей те же, что и в табл. 2. )

Анализируя изменения давления в ПЦА при различных стадиях ПОУГ (табл. 3), отмечено его повышение во всех стадиях по сравнению с нормой (p<0,01), что происходило на фоне достоверного повышения средних значений ВГД от стадии I до стадии IV (p<0,001). Выделив из группы больных с начальной стадией 15 пациентов, имевших нормальное ВГД, рассчитали давление в ПЦА и ПД в ПСГ для данной выборки. При среднем значении ВГД 20,1+1,8 мм рт. ст. значения давления в ПЦА и ПД в ПСГ составили соответственно 61,23+2,40 и 45,25+1,31 мм рт. ст. Таким образом, в начальной стадии ПОУГ при нормальном давлении наблюдается умеренная гипотония в ПЦА и менее выраженное ухудшение гемоперфузии в ПСГ по сравнению с неотобранной по уровню ВГД группой (p<0,05).

Выводы

  1. Перфузионное давление в переднем сегменте глаза обеспечивается разницей между давлением в передних цилиарных артериях и внутриглазным давлением.
  2. Предложенный новый способ определения перфузионного давления в переднем сегменте глаза осуществим практически у всех исследуемых независимо от состояния оптических сред, медикаментозного миоза и уровня системного артериального давления.
  3. Данные, полученные при помощи нового способа определения перфузионного давления в переднем сегменте глаза у больных первичной открытоугольной глаукомой, соответствуют основным закономерностям глаукоматозного процесса, отраженным в динамике перфузионного давления глазного яблока в целом, определяемого другими известными способами.

Литература

  1. Бакшинский П.П. Влияние консервативной терапии и хирургического лечения на региональную гемодинамику глаза при первичной открытоугольной глаукоме: Автореф. дис. … канд. мед. наук.- М., 2000.- 20 с.
  2. Бунин А.Я. Гемодинамика глаза и методы ее исследования.- М., 1971.- 196 с.
  3. Бунин А.Я., Муха А.И., Коломойцева Е.М. Перфузионное давление в сосудах глаз у больных первичной открытоугольной глаукомой // Вестн. офтальмологии.- 1995.- № 1.- С. 28-31.
  4. Волков В.В. Глаукома при псевдонормальном давлении.- М.: Медицина, 2001.- 352 с.
  5. Кацнельсон Л.А. Реография глаза.- М.: Медицина, 1977.- 120 с.
  6. Ким Чан Ин. Состояние кровообращения переднего отрезка глаза при различных стадиях открытоугольной глаукомы: Автореф. дис. … канд. мед. наук.- М., 1979.- 18 с.
  7. Кунин В.Д. Исследование кровоснабжения глаз и его значение в диагностике, лечении и прогнозе первичной открытоугольной глаукомы и ее разновидностей: Автореф. дис. … д-ра мед. наук.- М., 2003.- 47 с.
  8. Лычковский Л.М. Функциональная морфология коллатерального кровообращения глаза: Автореф. дис. …д-ра мед. наук.- Львов, 1969.- 24 с.
  9. Нестеров А.П., Бунин А.Я., Кацнельсон Л.А. Внутриглазное давление. Физиология и патология.- М.: Наука, 1974.- 381 с.
  10. Ульрих Х., Ульрих В.Д. Окулярное перфузионное давление и его клиническое значение // Актуальные проблемы патологии сетчатой оболочки и зрительного нерва: Республ. сб. науч. работ.- М., 1982.- С. 155-160.
  11. Федоров С.Н. К патогенезу первичной открытоугольной глаукомы // Вопросы патогенеза и лечения глаукомы: Сб. науч. тр. МНИИ МХГ.- М., 1981.- С. 3-7.
  12. Шилкин Г.А., Ким Чан Ин. Состояние кровообращения в эписклеральных сосудах глаза при различных стадиях открытоугольной глаукомы // Офтальмол. журн.- 1979.- № 8.- С. 483-485.
  13. Шмырева В.Ф., Шмелева О.А. Способ оценки глазной перфузии при глаукоме // Офтальмол. журн.- 2000.- № 1.- С. 18-21.
  14. Bettelheim H. Ophthalmodynamographishe Befunde beim Glaucom // Ophthalmologica.- 1969.- Bd. 157.- S. 1-13.
  15. Hayreh S.S. The long posterior ciliary arteries. An experimental study // Graefe's Arch. Clin. Exp. Ophthalmol.- 1974.- Bd. 192.- S. 197-213.
  16. Hayreh S.S., Scott W.E. Fluorescein iris angiography.II. Disturbances in iris circulation following strabismus operation on various recti // Arch. Ophthalmol.- 1978.- Vol. 96.- No. 8.- P. 1390-1400.
  17. Lobstein A., Herr F. L'ophthalmodynamometrie le glaucome // Ann. Oculist.- 1966.- Vol. 199.- P. 38-69.
  18. Rety I. Nouvel instrument pour la mesure de la pression sanguine episclerale // Ann. Oculist.- 1961.- Vol. 194.- No. 7.- P. 691-698.

A. V. Petrayevsky, I.A. Gndoyan, I.D. Mansоur

EYE ANTERIOR SEGMENT PERFUSION CONDITION IN PRIMARY OPEN-ANGLE GLAUCOMA.

Eye anterior segment perfusion was estimated in primary open-angle glaucoma patients with different IOP-levels and different glaucoma stages. A new method of perfusion pressure measurement was developed by means of anterior ciliary arteries vasotonometry. It was determined that eye anterior segment perfusion decreased in high IOP-level and far-advanced stages.


Комментарии пользователей


Русский офтальмологический каталог www.ophthalmology.ru : Уважаемые пользователи! Для того чтобы комментировать эту статью, Вам нужно войти в систему или зарегистрироваться

25 октября 2006 года, 16:31



Чтобы прокомментировать статью, войдите в систему или зарегистрируйтесь!

Зарегистрируйтесь, и Вы сможете добавлять свои статьи на наш сайт!
Баннерообменная сеть
ophthalmology.ru

Администрация каталога не несет ответственность за содержание материалов, размещаемых пользователями и ссылок с сайта на другие ресурсы.

liveinternet.ru: показано число хитов за 24 часа, посетителей за 24 часа и за сегодня
Яндекс цитирования
Спонсоры:

Организации и специалисты офтальмологические организации и специалисты Статьи офтальмологические статьи Форум офтальмологический форум Печать литература по офтальмологии Новости новости офтальмологии Мировые ресурсы офтальмологические мировые ресурсы Для пациента окулисты, офтальмологи, зрение пациентов Магазин контактные линзы, книги по офтальмологии Сервис

Русский офтальмологический каталог

© Copyright 2000-2005. All Rights Reserved.
Использование материалов по согласованию
с администрацией каталога
ophthalmology.ru
AlPite design