Top.Mail.Ru

Офтальмология в мире

Офтальмология в мире

Склеральный меланоцитоз: клиническая характеристика и подходы к терапии

Склеральный меланоцитоз: клиническая характеристика и подходы к терапии

Склеральный меланоцитоз — редкое доброкачественное состояние, характеризующееся темной пигментацией белочной оболочки глаза вследствие увеличения числа меланоцитов. Не вызывает нарушений зрения, но может требовать косметической коррекции (лазер, криотерапия, хирургия).

Читать далее →

Еврокомиссия упростила требования к маркировке UDI для производителей контактных линз

Еврокомиссия упростила требования к маркировке UDI для производителей контактных линз

Еврокомиссия приняла поправку к регламенту MDR, позволяющую производителям контактных линз использовать мастер-UDI-DI для групп изделий вместо индивидуальной маркировки, что снижает административную нагрузку. Регламент вступил в силу в 2023 году.

Читать далее →

Alkem Laboratories выходит на офтальмологический рынок с новой линейкой средств по уходу за глазами

Alkem Laboratories выходит на офтальмологический рынок с новой линейкой средств по уходу за глазами

В июле 2023 года Alkem Laboratories вышла на офтальмологический рынок Индии с новой линейкой доступных средств по уходу за глазами, предоставив врачам инновационные решения, а пациентам – образовательные материалы через …

Читать далее →

Гигантский папиллярный конъюнктивит: анализ этиологии и триггеров

Гигантский папиллярный конъюнктивит: анализ этиологии и триггеров

Гигантский папиллярный конъюнктивит — аллергическая реакция конъюнктивы с отеком и бугристостью век. Рассмотрены причины (линзы, швы, аллергены), симптомы, стадии и подходы к терапии, включая кромогликат натрия и отказ от линз.

Читать далее →

Диагностика и лечение узловой дегенерации Зальцмана: обзор методов

Диагностика и лечение узловой дегенерации Зальцмана: обзор методов

Узловая дегенерация Зальцмана — асимметричное, медленно прогрессирующее заболевание роговицы с фиброзными узелками. В статье рассмотрены причины (включая MGD, ношение контактных линз), симптомы, диагностика (биомикроскопия, AS-OCT), консервативное и хирургическое лечение (SK, …

Читать далее →

Цонулярная катаракта: этиология, факторы риска и клиническая картина

Цонулярная катаракта: этиология, факторы риска и клиническая картина

Цонулярная катаракта — наследственное или приобретенное заболевание, поражающее цинновы связки хрусталика. В статье описаны этиология, факторы риска, клинические симптомы, методы диагностики и хирургическое лечение с имплантацией интраокулярной линзы (IOL).

Читать далее →

Конъюнктивохалязис: современный взгляд на патологию конъюнктивы

Конъюнктивохалязис: современный взгляд на патологию конъюнктивы

Конъюнктивохалязис — дряблость конъюнктивы, возникающая с возрастом. Рассмотрены этиология, факторы риска, симптомы (ощущение инородного тела, эпифора), дифференциальная диагностика с синдромом сухого глаза, методы диагностики (щелевая лампа, ОКТ) и варианты лечения: …

Читать далее →

Воспалительная глаукома: анализ сложного заболевания

Воспалительная глаукома: анализ сложного заболевания

Воспалительная глаукома (увеитная глаукома) — это повышение ВГД на фоне воспаления глазных тканей, приводящее к изменениям диска зрительного нерва. Описаны диагностика, клинические формы (открытоугольная, закрытоугольная, вторичные) и подходы к лечению: …

Читать далее →

Куриная слепота (никталопия): этиология, клиническая картина и подходы к терапии

Куриная слепота (никталопия): этиология, клиническая картина и подходы к терапии

Куриная слепота (никталопия) — симптом нарушений сетчатки, а не самостоятельное заболевание. Проявляется ухудшением зрения в сумерках и темноте. Причины включают миопию, глаукому, катаракту, дефицит витамина А. Терапия зависит от этиологии: …

Читать далее →

Дистрофии сетчатки с паттернным типом пигментации: классификация и клинические особенности

Дистрофии сетчатки с паттернным типом пигментации: классификация и клинические особенности

Паттернные дистрофии сетчатки — группа наследственных заболеваний с отложениями пигмента в макуле. Статья описывает типы (взрослая вителлиформная, «крылья бабочки», ретикулярная, мультифокальная, Fundus pulverulentus), симптомы, диагностику и отсутствие этиотропного лечения.

Читать далее →

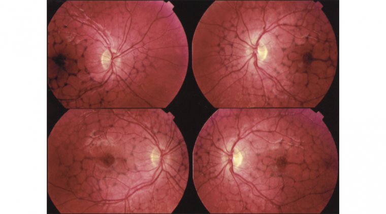
Редкая форма заднего увеита: современные методы диагностики и терапии птичьей хориоретинопатии

Редкая форма заднего увеита: современные методы диагностики и терапии птичьей хориоретинопатии

Птичья хориоретинопатия — редкое аутоиммунное заболевание заднего сегмента глаза, ассоциированное с геном HLA-A29. В статье описаны клиническая картина, диагностика, варианты терапии (кортикостероиды, иммуносупрессанты, биологические агенты) и перспективные направления исследований.

Читать далее →

Интумесцентная катаракта: клиническая характеристика и подходы к лечению

Интумесцентная катаракта: клиническая характеристика и подходы к лечению

Интумесцентная катаракта — зрелая стадия возрастного катарактогенеза, характеризующаяся набуханием хрусталика, мелкой передней камерой и вторичной глаукомой. Единственный метод лечения — хирургическая экстракция с имплантацией интраокулярной линзы.

Читать далее →