Top.Mail.Ru

Офтальмология в мире

Офтальмология в мире

Обзор новостей индустрии: ключевые события офтальмологии (декабрь-ноябрь 2025 г.)

Обзор новостей индустрии: ключевые события офтальмологии (декабрь-ноябрь 2025 г.)

Сводка новостей офтальмологической индустрии за декабрь-ноябрь 2025 года: результаты исследований, регуляторные одобрения FDA и EMA, запуски биосимиляров и новые патентные решения.

Читать далее →

Разработано мобильное приложение для повышения эффективности окклюзионной терапии при амблиопии у детей

Разработано мобильное приложение для повышения эффективности окклюзионной терапии при амблиопии у детей

В июне 2023 года ученые Университета Саутгемптона разработали смартфон-приложение для повышения приверженности окклюзионной терапии у детей с амблиопией. Игровая механика с ИИ мотивирует правильно носить повязку, что повышает эффективность лечения …

Читать далее →

Лечение патологии слезного озера: обзор методов

Лечение патологии слезного озера: обзор методов

В статье рассмотрены функции слезного озера, причины и методы лечения его отека, а также подходы к терапии непроходимости носослезного протока у детей и взрослых.

Читать далее →

Компания Pharmedica USA отзывает капли Purely Soothing 15% MSM Drops из-за нестерильности

Компания Pharmedica USA отзывает капли Purely Soothing 15% MSM Drops из-за нестерильности

Pharmedica USA в марте 2023 года объявила о всемирном отзыве двух партий глазных капель Purely Soothing 15% MSM Drops из-за риска нестерильности, что могло привести к инфекциям и потере зрения. …

Читать далее →

Факоэмульсификация катаракты в комбинации с гонотомией: анализ эффективности и безопасности MIGS-вмешательств

Факоэмульсификация катаракты в комбинации с гонотомией: анализ эффективности и безопасности MIGS-вмешательств

Анализ комбинированной хирургии катаракты и гонотомии с использованием лезвия Kahook Dual Blade (KBD). Представлены данные сравнительных исследований KBD+фако vs iStent+фако, демонстрирующие эффективность и профиль безопасности MIGS-вмешательств при открытоугольной глаукоме. Рассмотрены …

Читать далее →

Конъюнктивальный невус: клинически значимый анамнез и подходы к ведению доброкачественного новообразования глаза

Конъюнктивальный невус: клинически значимый анамнез и подходы к ведению доброкачественного новообразования глаза

Конъюнктивальный невус — распространенное доброкачественное образование конъюнктивы. Рассмотрены этиология, факторы риска (УФ-облучение, светлая кожа, генетика), методы диагностики (биомикроскопия, ОКТ), варианты лечения (наблюдение, иссечение, криотерапия) и прогноз.

Читать далее →

Контактные линзы и «вечные химикаты»: анализ потенциальных рисков для здоровья и экологии

Контактные линзы и «вечные химикаты»: анализ потенциальных рисков для здоровья и экологии

Исследование 2023 года выявило присутствие устойчивых пер- и полифторалкильных соединений (ПФАС) в мягких контактных линзах брендов Alcon, Acuvue и CooperVision. Уровень содержания химикатов в линзах значительно превышал допустимые нормы для …

Читать далее →

Офтальмологический анализ окулярной мигрени: этиология, клиническая картина и терапевтические подходы

Офтальмологический анализ окулярной мигрени: этиология, клиническая картина и терапевтические подходы

Окулярная (ретинальная) мигрень встречается у 3% населения, чаще у женщин. Состояние проявляется временными зрительными нарушениями (вспышки, слепые зоны), обычно длящимися до часа. В редких случаях может указывать на серьезную патологию. …

Читать далее →

Гетерохромия: этиология, клинические формы и подходы к коррекции

Гетерохромия: этиология, клинические формы и подходы к коррекции

Статья представляет собой обзор гетерохромии — генетически обусловленного различия цвета радужных оболочек. Рассмотрены этиология, три основных типа (центральная, секторальная, полная), методы диагностики и подходы к коррекции с помощью контактных линз. …

Читать далее →

Офтальмологический анализ гипотонии глаза: причины, симптомы и тактика ведения пациентов

Офтальмологический анализ гипотонии глаза: причины, симптомы и тактика ведения пациентов

Гипотония глаза (пониженное внутриглазное давление) — состояние, ведущее к нарушению зрения и осложнениям. Рассмотрены причины: хирургия, травма, воспаление, отслойка сетчатки. Описаны диагностика (тонометрия, гониоскопия, УБМ) и тактика ведения: медикаменты, хирургия, …

Читать далее →

Обзор новостей офтальмологических исследований

Обзор новостей офтальмологических исследований

Обзор значимых исследований в офтальмологии за период октябрь-декабрь 2025 года: от виртуального моделирования сетчатки и терапии стволовыми клетками до оценки алгоритмов ИИ и новых методов лечения глаукомы и макулярной дегенерации.

Читать далее →

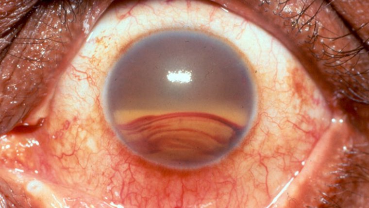
Гифема: клиническая картина внутриглазного кровоизлияния и подходы к терапии

Гифема: клиническая картина внутриглазного кровоизлияния и подходы к терапии

Гифема — кровоизлияние в переднюю камеру глаза, возникающее чаще всего вследствие травмы. В статье рассмотрены причины, симптомы (боль, затуманивание зрения), диагностика (тонометрия, УЗИ) и методы лечения — от покоя и …

Читать далее →