Top.Mail.Ru

Кератопластика

Статьи с этим тегом

Буллезная кератопатия: этиология, клиническая картина и терапевтическая стратегия

Буллезная кератопатия: этиология, клиническая картина и терапевтическая стратегия

29 апреля 2024 Офтальмология в мире

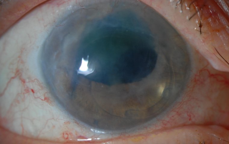
Буллезная кератопатия — заболевание роговицы, обусловленное дисфункцией эндотелиальных клеток, что приводит к отеку, формированию пузырей (булл), боли и снижению зрения. Рассмотрены причины (включая хирургию катаракты), диагностика и методы лечения: от …

Читать далее →

Помутнение роговицы: этиология, клиническая картина и терапевтические подходы

Помутнение роговицы: этиология, клиническая картина и терапевтические подходы

02 октября 2023 Офтальмология в мире

Помутнение роговицы (роговичная опалесценция) — потеря прозрачности роговицы, приводящая к нарушениям зрения от нечеткости до слепоты. В статье разбираются этиология, дифференциальная диагностика с катарактой, симптомы, методы диагностики, варианты лечения (медикаменты, …

Читать далее →