Top.Mail.Ru

Офтальмология в мире

Офтальмология в мире

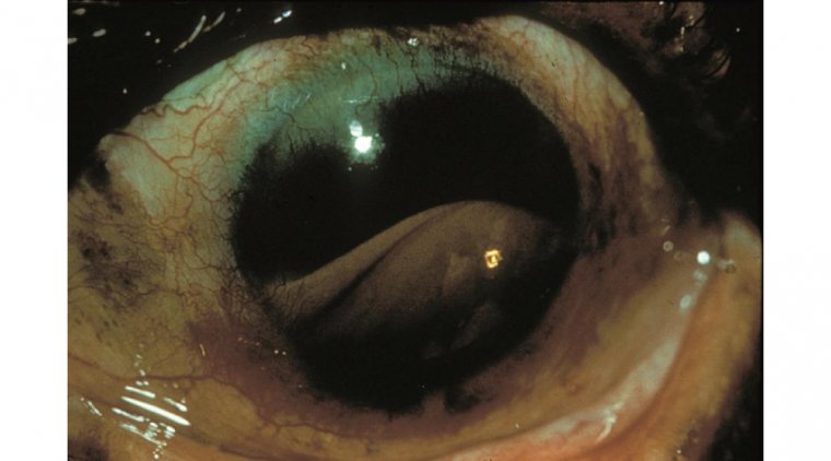
Синдром «призрачных клеток» при вторичной открытоугольной глаукоме: клиническая картина и терапевтические подходы

Синдром «призрачных клеток» при вторичной открытоугольной глаукоме: клиническая картина и терапевтические подходы

Редкая форма вторичной открытоугольной глаукомы, вызванная закупоркой трабекулярной сети «призрачными клетками» — разрушенными эритроцитами. При отсутствии лечения ведет к необратимой потере зрения. Терапия включает гипотензивные капли, лазерную трабекулопластику или хирургию.

Читать далее →

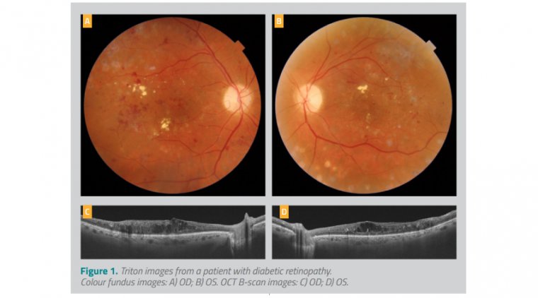
Оптическая когерентная томография в мультимодальном формате: эволюция клинической эффективности

Оптическая когерентная томография в мультимодальном формате: эволюция клинической эффективности

Статья, опубликованная 14 октября 2022 года, рассматривает эволюцию оптической когерентной томографии (ОКТ) от базового инструмента к мультимодальной визуализации на примере системы DRI OCT Triton от Topcon Healthcare. Описаны технологические вехи …

Читать далее →

Сингапурский зоопарк провел первую в мире операцию по имплантации индивидуальных интраокулярных линз пингвинам

Сингапурский зоопарк провел первую в мире операцию по имплантации индивидуальных интраокулярных линз пингвинам

Клиника The Eye Specialist for Animals в Сингапуре провела первую в мире операцию по имплантации индивидуальных интраокулярных линз трем пожилым королевским пингвинам. Птицам успешно удалили катаракту, что восстановило их зрение …

Читать далее →

Дермолипома глаза: клиническая характеристика редкой доброкачественной опухоли

Дермолипома глаза: клиническая характеристика редкой доброкачественной опухоли

Дермолипома (орбитальный липодермоид) — редкая доброкачественная опухоль конъюнктивы или века, состоящая из жировой и фиброзной ткани. Статья освещает этиологию, клинические проявления, методы диагностики и тактику ведения пациентов с этим новообразованием.

Читать далее →

Обзор офтальмологических исследований: ключевые события 2025 года

Обзор офтальмологических исследований: ключевые события 2025 года

Аналитический обзор ключевых научных исследований в офтальмологии по материалам 2025 года: от пластичности мозга и виртуальной модели сетчатки до лазерной терапии ВМД и применения ИИ в скрининге диабетической ретинопатии.

Читать далее →

Распространенные формы аллергического конъюнктивита и подходы к терапии

Распространенные формы аллергического конъюнктивита и подходы к терапии

Аллергические реакции глаз возникают при контакте с аллергенами, проявляясь покраснением, зудом и слезотечением. Около 20% населения планеты страдает глазными аллергиями. Рассмотрены три наиболее частые формы — круглогодичный, сезонный и контактный …

Читать далее →

Потребление кофе и чая ассоциировано с увеличением толщины макулярного слоя нервных волокон сетчатки

Потребление кофе и чая ассоциировано с увеличением толщины макулярного слоя нервных волокон сетчатки

Исследование под руководством доктора Лизы Чжуо Чжу (CERA) показало, что употребление двух-трех чашек кофе или более четырех чашек чая в день ассоциировано с увеличением толщины макулярного слоя нервных волокон сетчатки, …

Читать далее →

Влияние псилоцибина на цветовую слепоту: зафиксировано длительное улучшение цветовосприятия

Влияние псилоцибина на цветовую слепоту: зафиксировано длительное улучшение цветовосприятия

Исследователи Кливлендской клиники опубликовали отчет о случае длительного (не менее 16 дней) улучшения цветовосприятия у человека с красно-зеленой цветовой слепотой после приема 5 г псилоцибиновых грибов. Результаты теста Ишихара достигли …

Читать далее →

ИИ ChatGPT продемонстрировал точность ниже 50% на экзамене по офтальмологии

ИИ ChatGPT продемонстрировал точность ниже 50% на экзамене по офтальмологии

Исследование больницы Святого Михаила и Университета Торонто, опубликованное в JAMA Ophthalmology, показало, что в январе 2023 года ChatGPT верно ответил на 46% вопросов сертификационного экзамена по офтальмологии, а в феврале …

Читать далее →

Espansione Group анонсировала вторую волну глобального клинического исследования LightWave II при сухой возрастной макулярной дегенерации

Espansione Group анонсировала вторую волну глобального клинического исследования LightWave II при сухой возрастной макулярной дегенерации

28 апреля 2023 Офтальмология в мире

Espansione Group объявила о запуске второй волны глобального клинического исследования LightWave II для лечения сухой возрастной макулярной дегенерации с использованием технологии фотобиомодуляции LM(R) LLLT, расширяя географию на Америку и Азиатско-Тихоокеанский …

Читать далее →

Разработаны недорогие контактные линзы для коррекции цветовой слепоты

Разработаны недорогие контактные линзы для коррекции цветовой слепоты

28 апреля 2023 Офтальмология в мире

Исследователи из Университета Халифы (ОАЭ) разработали контактные линзы для коррекции цветовой слепоты с помощью 3D-печати и недорогого розового красителя. Линзы блокируют свет в диапазоне 525–575 нм, сопоставимы с коммерческими аналогами …

Читать далее →

Johnson & Johnson Vision получила разрешение FDA на фемтосекундный лазер Elita

Johnson & Johnson Vision получила разрешение FDA на фемтосекундный лазер Elita

28 апреля 2023 Офтальмология в мире

Johnson & Johnson Vision в апреле 2023 года получила разрешение FDA на фемтосекундный лазер Elita для создания роговичных лоскутов при LASIK. Устройство представят на конгрессе ASCRS в Сан-Диего (5-8 мая …

Читать далее →