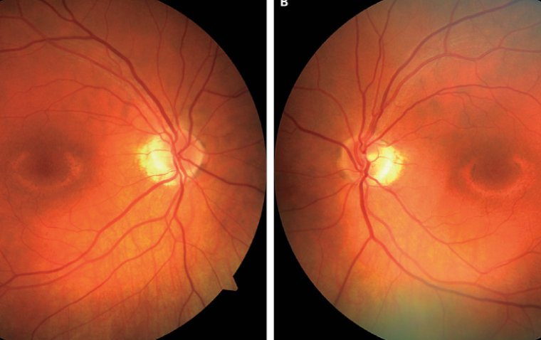
Макулопатия типа «Бычий глаз» (Bull's Eye Maculopathy) представляет собой специфическую форму ретинального заболевания, характеризующуюся изменениями пигментации макулярной области сетчатки, которые часто визуализируются в виде паттерна «бычий глаз». Макула — центральная зона сетчатки, отвечающая за детальное центральное зрение. Её поражение способно существенно снизить остроту зрения, нарушить цветовосприятие и ухудшить качество жизни пациента.

Своевременное распознавание и лечение имеют решающее значение для контроля макулопатии типа «Бычий глаз» и минимизации её влияния на зрительные функции. Поскольку изменения в сетчатке часто носят необратимый характер, ранняя идентификация состояния может замедлить его прогрессирование. Реализация своевременных стратегий ведения, включая модификацию образа жизни и фармакологическую терапию по показаниям, способствует сохранению зрения и улучшению качества жизни пациента. Регулярные офтальмологические осмотры и быстрое реагирование на появление симптомов являются ключевыми компонентами в борьбе с данным заболеванием.

Этиология макулопатии типа «Бычий глаз»

Этиология макулопатии типа «Бычий глаз» может быть весьма разнообразной и включает как генетические, так и экологические факторы. К числу известных причин относятся:

1. Лекарственная токсичность: Некоторые лекарственные препараты способны накапливаться в сетчатке и вызывать повреждение клеток.

2. Генетическая предрасположенность: Некоторые люди имеют наследственную предрасположенность к развитию ретинальных нарушений.

3. Метаболические нарушения: Такие состояния, как болезнь Вильсона (гепатолентикулярная дегенерация), при которой медь накапливается в различных тканях организма, также могут приводить к макулопатии типа «Бычий глаз».

4. Возрастные изменения: Риск развития этого состояния может увеличиваться с возрастом.

Гидроксихлорохин (Plaquenil) является одним из наиболее распространенных лекарственных препаратов, ассоциированных с макулопатией типа «Бычий глаз». Изначально применявшийся для лечения малярии, гидроксихлорохин также назначается при аутоиммунных заболеваниях, таких как системная красная волчанка и ревматоидный артрит. Однако длительное применение или высокие дозы этого препарата могут привести к ретинальной токсичности и последующему развитию макулопатии типа «Бычий глаз».

Риск макулопатии, вызванной гидроксихлорохином, зависит от дозы и продолжительности лечения. Пациенты, принимающие этот препарат, должны проходить регулярные офтальмологические обследования, включая визуализацию сетчатки и функциональные тесты, для выявления ранних признаков токсичности. После обнаружения изменений прекращение приема препарата и переход под медицинским наблюдением на альтернативное лекарственное средство часто могут предотвратить дальнейшее повреждение сетчатки, но не всегда способны обратить уже существующие изменения.

Симптомы и признаки макулопатии типа «Бычий глаз»

Симптомы макулопатии типа «Бычий глаз» на начальном этапе могут быть слабо выраженными и включать:

Нечеткое или искаженное зрение: Пациентам может быть трудно читать или распознавать лица.

Трудности адаптации к низкой освещенности: Заметное ухудшение способности адаптироваться к более темным условиям.

Потеря центрального зрения: Поскольку заболевание в первую очередь поражает макулу, ответственную за центральное зрение, это может быть ранним признаком.

Изменения цветового зрения: Некоторые пациенты испытывают трудности с различением цветов или замечают, что цвета выглядят менее яркими.

Ранние симптомы против развернутых стадий

На ранних стадиях макулопатии типа «Бычий глаз» симптомы часто слабо выражены и могут быть легко пропущены или объяснены старением или другими незначительными проблемами со зрением. Человек может не испытывать значительных зрительных нарушений, но может отмечать едва заметные изменения, такие как небольшое затруднение при чтении или легкое искажение центрального зрения.

По мере прогрессирования заболевания до более поздних стадий симптомы становятся более выраженными и изнурительными:

Центральная скотома: Слепое пятно в центральном поле зрения.

Выраженная потеря цветового зрения: Цвета могут выглядеть блеклыми или значительно измененными.

Глубокая потеря детального восприятия: Распознавание лиц или чтение становятся чрезвычайно сложными.

Диагностические методы при макулопатии типа «Бычий глаз»

Диагностика макулопатии типа «Бычий глаз» обычно включает комбинацию клинического осмотра и специализированных визуализационных исследований. Процесс обычно начинается с комплексного офтальмологического обследования, в ходе которого офтальмолог проверяет наличие любых аномалий в глазу, особенно в сетчатке.

1. Оптическая когерентная томография (ОКТ)

Оптическая когерентная томография — это неинвазивный визуализационный тест, использующий световые волны для получения поперечных изображений сетчатки. Он предоставляет детальные изображения, которые могут выявить характерный паттерн повреждения «бычий глаз» в слоях макулы, помогая тем самым в диагностике. ОКТ также ценна для мониторинга прогрессирования заболевания с течением времени.

2. Фундус-аутофлуоресценция

Фундус-аутофлуоресценция — еще один неинвазивный метод визуализации, используемый для оценки состояния сетчатки. Этот метод использует естественную флуоресценцию определенных клеток сетчатки для создания детальной карты сетчатки. Он может помочь идентифицировать области, где клетки сетчатки отмирают или уже погибли, подтверждая наличие макулопатии типа «Бычий глаз».

3. Исследование поля зрения

Это исследование помогает выявить темные или слепые пятна в зрении, о которых пациент может даже не подозревать, что может указывать на макулярные проблемы.

4. Тестирование цветового зрения

Поскольку макулопатия типа «Бычий глаз» может влиять на цветовое зрение, могут проводиться специализированные тесты для оценки этого аспекта.

5. Флюоресцентная ангиография

Хотя этот диагностический метод используется реже, он включает инъекцию флуоресцентного красителя в кровоток и фотографирование сетчатки для выявления аномальных паттернов кровотока или повреждений.

Лечение макулопатии типа «Бычий глаз»

Ведение пациентов с макулопатией типа «Бычий глаз» во многом зависит от основной причины и степени повреждения сетчатки. Ниже перечислены основные доступные варианты лечения:

Медицинские вмешательства

1. Отмена или коррекция дозы лекарственных препаратов: Если состояние связано с применением определенных препаратов, таких как гидроксихлорохин (Plaquenil), отмена или снижение дозы под медицинским наблюдением иногда может замедлить или остановить прогрессирование заболевания.

2. Пищевые добавки: Некоторые офтальмологи рекомендуют пищевые добавки, поддерживающие здоровье глаз, такие как лютеин и зеаксантин, хотя их эффективность при данном состоянии не является общепризнанной.

3. Антиоксиданты: Пероральные антиоксиданты, такие как витамины C и E, предлагались в качестве потенциальных методов лечения, но их эффективность все еще находится в стадии изучения.

4. Терапии off-label: Некоторые лекарства, применяемые при других заболеваниях сетчатки, таких как возрастная макулярная дегенерация (ВМД), могут рассматриваться в индивидуальном порядке, но это, как правило, применение off-label, и к нему следует подходить с осторожностью.

Потенциальные хирургические варианты

Субретинальная хирургия: Хотя она не часто используется при макулопатии типа «Бычий глаз», хирургия по удалению аномальных отложений или рубцовой ткани из-под сетчатки является опцией в некоторых случаях.

Ретинальные импланты: Это область активных исследований, которая может стать методом лечения в будущем.

Терапия стволовыми клетками: Это область продолжающихся исследований, которая может предложить возможности для лечения в будущем.

Ведение медикаментозно-индуцированной макулопатии типа «Бычий глаз»

Специфические рекомендации по ведению

Когда макулопатия типа «Бычий глаз» предположительно вызвана такими лекарствами, как гидроксихлорохин (Plaquenil), требуются специфические вмешательства для минимизации дальнейшего повреждения и эффективного управления состоянием.

1. Немедленная консультация: Необходимо проконсультироваться с офтальмологом при первых подозрениях или выявлении ранних признаков макулопатии типа «Бычий глаз». Полное офтальмологическое обследование необходимо для подтверждения диагноза.

2. Пересмотр лекарственной терапии: Если лекарственный препарат идентифицирован как причина, лечащие врачи должны совместно оценить возможность отмены препарата или его замены на менее токсичную альтернативу.

3. Коррекция дозы: Иногда более низкая доза препарата может быть достаточной для лечения основного заболевания при минимизации риска глазной токсичности. Однако любые изменения в лекарственной терапии должны производиться только под строгим медицинским контролем.

4. Частое мониторирование: Пациенты, продолжающие прием препарата, должны проходить более частые офтальмологические осмотры и визуализационные исследования, такие как оптическая когерентная томография (ОКТ), для тщательного наблюдения за состоянием сетчатки.

Профилактика макулопатии типа «Бычий глаз»

Информированное использование лекарств: Перед началом приема препаратов, известных своей способностью вызывать макулопатию типа «Бычий глаз», таких как гидроксихлорохин (Plaquenil), необходимо хорошо знать о связанных с ними рисках и, если возможно, обсудить альтернативы с лечащим врачом.

Базовое офтальмологическое обследование: Если необходимо принимать такие препараты, базовое офтальмологическое обследование имеет решающее значение для будущих сравнений. Это еще более важно, если уже имеются другие факторы риска заболеваний сетчатки.

Регулярное мониторирование: Необходимо соблюдать рекомендуемый график офтальмологических осмотров, который может включать более частые визиты для пациентов с высоким риском. Мониторинг важен не только для тех, кто принимает лекарства, но и для людей с другими факторами риска, такими как возраст, семейный анамнез или другие ретинальные заболевания.

Раннее вмешательство: При первых признаках изменений зрения или дискомфорта следует проконсультироваться с офтальмологом. Чем раньше выявлены потенциальные проблемы, тем лучше могут быть результаты.

Контроль дозы: Необходимо строго соблюдать назначенные дозы лекарств и никогда не превышать рекомендуемую дозировку. Высокие дозы могут увеличить риск развития макулопатии типа «Бычий глаз».

Изменение образа жизни: Здоровый образ жизни, включая сбалансированное питание, богатое антиоксидантами, может поддерживать здоровье глаз, хотя напрямую не предотвращает макулопатию типа «Бычий глаз». Тем не менее, общее благополучие часто способствует лучшим исходам при различных заболеваниях, включая патологию глаз.

Консультация нескольких специалистов: При наличии повышенного риска из-за приема лекарств необходимо обеспечить согласованность действий между лечащим врачом и офтальмологом в отношении плана лечения.

Резюме

Макулопатия типа «Бычий глаз» (Bull's Eye Maculopathy) — это заболевание сетчатки, требующее немедленного внимания и постоянного наблюдения. Оно часто ассоциируется с применением таких лекарственных препаратов, как гидроксихлорохин (Plaquenil), но также может возникать вследствие других факторов риска. Состояние обычно проявляется специфическим паттерном повреждения сетчатки, который может быть обнаружен с помощью специализированных визуализационных исследований, таких как оптическая когерентная томография (ОКТ). Ранние симптомы могут быть слабо выраженными и существенно отличаться от симптомов на поздних стадиях, что делает регулярные офтальмологические осмотры критически важными. Существуют различные подходы к лечению — от медикаментозных вмешательств и изменения образа жизни до хирургических опций в крайних случаях. Ведение медикаментозно-индуцированной макулопатии типа «Бычий глаз» требует междисциплинарного подхода, включая тщательный мониторинг приема лекарств.

Часто задаваемые вопросы

Что такое макулопатия типа «Бычий глаз»? Это медицинское состояние, поражающее макулу — небольшую, но критически важную часть сетчатки, отвечающую за центральное зрение.

Что вызывает макулопатию типа «Бычий глаз»? Она может быть вызвана различными факторами, включая лекарственные препараты (например, гидроксихлорохин), генетические мутации и некоторые заболевания.

Поддается ли макулопатия типа «Бычий глаз» лечению? Варианты лечения ограничены, и состояние часто контролируется путем наблюдения и отмены причинного лекарственного препарата, если это применимо. Специфического лечения генетических форм не существует.

Может ли макулопатия типа «Бычий глаз» привести к слепоте? Хотя она может серьезно повлиять на центральное зрение, приводя к значительному нарушению зрительных функций, она обычно не вызывает полную слепоту.

Может ли макулопатия типа «Бычий глаз» развиться у детей? Да, некоторые генетические формы могут поражать детей, и в таких случаях ранняя диагностика и лечение имеют решающее значение.