Top.Mail.Ru

лечение заболеваний роговицы

Статьи с этим тегом

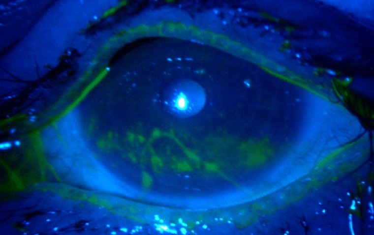
Окрашивание роговицы: анализ причин, симптоматики и терапевтических подходов

Окрашивание роговицы: анализ причин, симптоматики и терапевтических подходов

21 октября 2024 Офтальмология в мире

Окрашивание роговицы — диагностический феномен при повреждениях роговицы. В статье проанализированы типы (диффузное, точечные эрозии, нитевидный кератит), причины (контактные линзы, сухость, травмы, инфекции), симптомы, диагностика и подходы к лечению.

Читать далее →

Корнеальная абразия: боль в глазу, которую нельзя игнорировать

Корнеальная абразия: боль в глазу, которую нельзя игнорировать

Статья от 15 мая 2023 года представляет собой руководство по диагностике, лечению и профилактике корнеальной абразии — ссадины роговицы, вызывающей сильную боль и риск инфекции. Описаны причины, симптомы, методы лечения …

Читать далее →